堺市中区深井沢町3391-2 カサ・デ・ソル1F
TEL:072-278-1118
TEL:072-278-1232
【ほった歯科携帯サイト】
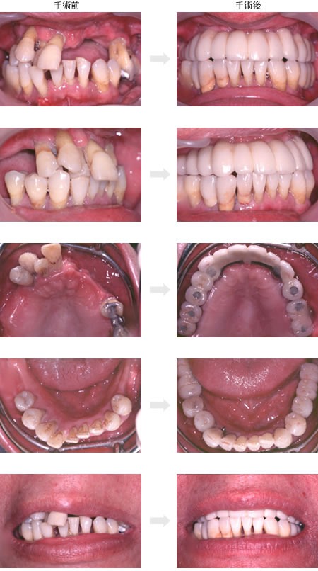
CASE5: ハイドロテクニック(骨移植術)の症例 主訴:全く噛めない。歯が動く為に、食事ができない。(60才/男性、喫煙)
インプラント症例の一覧へ