堺市中区深井沢町3391-2 カサ・デ・ソル1F
TEL:072-278-1118
TEL:072-278-1232
【ほった歯科携帯サイト】
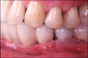
CASE4: 外傷による損傷の症例 主訴:打撲により、水平垂直に骨が欠損した状態をインプラントと骨移植により回復した。
インプラント症例の一覧へ