堺市中区深井沢町3391-2 カサ・デ・ソル1F
TEL:072-278-1118
TEL:072-278-1232
【ほった歯科携帯サイト】
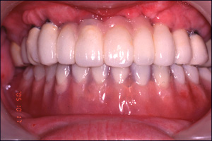
CASE6: 歯周病とカリエスの症例 主訴:歯周病とカリエスにより、ほとんど噛めない。インプラント、骨移植、歯肉移植により、改善された。
インプラント症例の一覧へ