堺市中区深井沢町3391-2 カサ・デ・ソル1F
TEL:072-278-1118
TEL:072-278-1232
【ほった歯科携帯サイト】
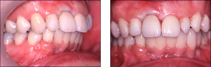
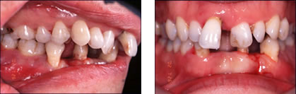
CASE3: 歯周病の症例 主訴:歯周病で、歯が動揺、インプラントで、審美性、咀嚼能力の回復。
インプラント症例の一覧へ