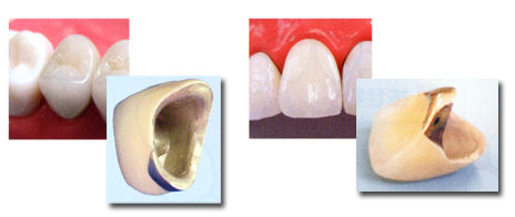
CASE14: メタルボンドとは?
内側を金属で補強し、その外側にセラミックを盛って作ります。

天然の歯に近い美しい印象で、
中身が金属で、外側はセラミックでできているので
割れにくく高い安定性と強度があります。
金属を使うため、体質によってはアレルギーの問題もございますので、
医師と相談しながら症状や場所にあった最適な治療を選択が必要です。
CASE14: メタルボンドとは?
内側を金属で補強し、その外側にセラミックを盛って作ります。

天然の歯に近い美しい印象で、
中身が金属で、外側はセラミックでできているので
割れにくく高い安定性と強度があります。
金属を使うため、体質によってはアレルギーの問題もございますので、
医師と相談しながら症状や場所にあった最適な治療を選択が必要です。