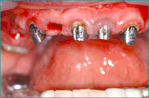
CASE1: 前歯がほとんど抜けた症例
主訴:ブリッジが駄目になり、残りの歯が4本しかない。これを利用してインプラントを入れてほしい。(職業 主婦/女性)

4本の歯を利用して上顎に6本のインプラントを入れる。 審美性の回復を目指す。


インプラントとセラミックの歯を入れる。
非常にきれいな状態を回復できる。
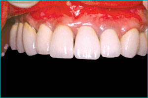
CASE1: 前歯がほとんど抜けた症例
主訴:ブリッジが駄目になり、残りの歯が4本しかない。これを利用してインプラントを入れてほしい。(職業 主婦/女性)

4本の歯を利用して上顎に6本のインプラントを入れる。 審美性の回復を目指す。


インプラントとセラミックの歯を入れる。
非常にきれいな状態を回復できる。